「中学生・高校生」の
成長力を活かした
「期間に配慮し、痛みが少ない」矯正治療
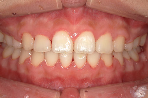
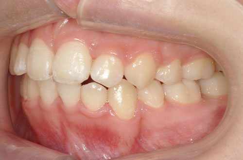
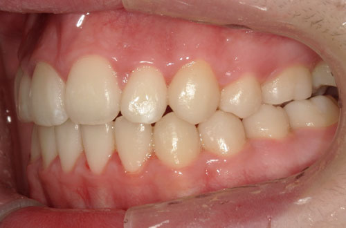
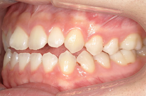
・主訴 でこぼこを治したい
・年齢/性別 13才/女性
・治療期間 7か月
・診断名 叢生
・治療費(総額) ¥1,273,800(検査料、診断料、治療関連処置費用等を含む) 難易度S、上下セラミックブラケット
・施術説明 装置装着約5ヶ月後から上下の噛み合わせをよくするため、ゴム掛けを行なっています。
装置装着後からMFTを行なっています。
・施術のリスク 歯を移動させることにより歯の根の先が短くなることがあります。
歯と歯の間に三角の空隙ができることがあります。
・副作用 置撤去時に歯に亀裂が入ることがありますが、神経などへ影響はございません。
舌癖の改善状況、ゴム掛けの使用状況、指示事項の実行具合によって装置装着期間が延びることがあります。
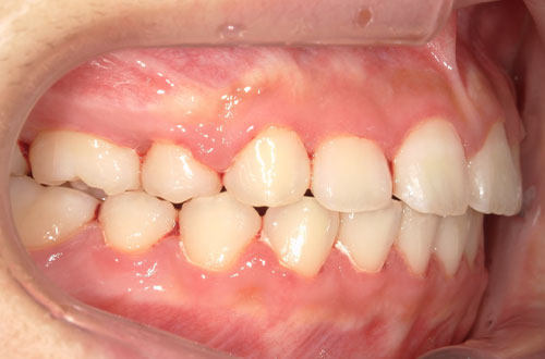
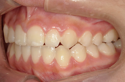
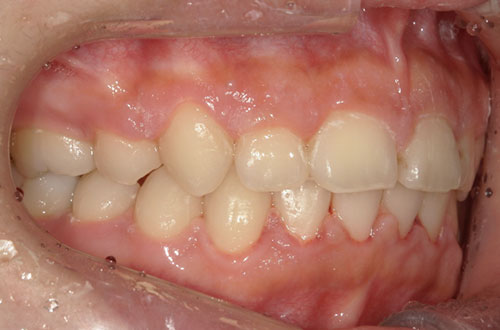
・主訴 前歯に隙間があるのが気になる
・年齢/性別 13歳/女性
・治療期間 1年0か月
・診断名 空隙歯列弓
・治療費 難易度M、上下セラミックブラケッット ¥909,360
・施術説明 装置装着時から上下の噛み合わせをよくするため、正中をあわせるために取り外しのゴム掛けを行なっています。
上唇小帯形成術を行なっています。
装置装着後からMFTを行なっています。
・施術のリスク 歯を移動させることにより歯の根の先が短くなることがあります。
歯と歯の間に三角の空隙ができることがあります。
・副作用 装置撤去時に歯に亀裂が入ることがありますが、神経などへ影響はございません。
舌癖の改善状況、ゴム掛けの使用状況、指示事項の実行具合によって装置装着期間が延びることがあります。
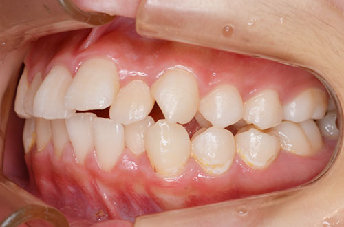
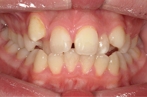
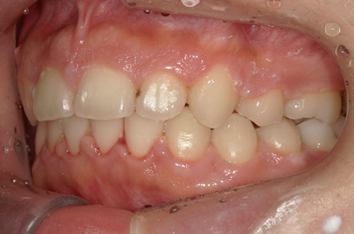
・主訴 前歯の出っ張りと下の歯のガタガタ
・年齢/性別 14歳/女性
・治療期間 12ヶ月
・診断名 上顎前突
・治療費 一期:バイオネーター、二期:難易度S、上下セラミックブラケット (¥385,000+¥803,000=1,188,000)
・施術説明 装置装着後から噛み合わせを良くするために取り外しのゴムかけを行なっています。装置装着後からMFTを行なっています。
・施術のリスク 歯を移動させることにより歯の根の先が短くなることがあります。歯と歯の間に三角の空隙ができることがあります。
・副作用 装置撤去時に歯に亀裂が入ることがありますが、神経などへ影響はございません。舌癖の改善状況、ゴム掛けの使用状況、指示事項の実行具合によって装置装着期間が延びることがあります。
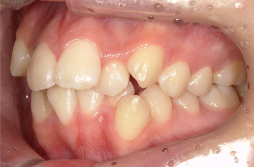
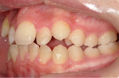
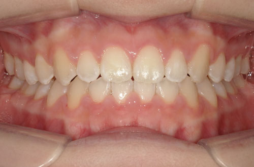
・主訴 学校からの歯科検診
・年齢/性別 14歳/女性
・治療期間 12ヶ月
・診断名 上下顎前突
・治療費 難易度S、上下セラミックブラケット ¥1,339,800(検査診断料、MIA 2本込)
・施術説明 装置装着後から噛み合わせを良くするために取り外しのゴムかけを行なっています。装置装着後からMFTを行なっています。
・施術のリスク 歯を移動させることにより歯の根の先が短くなることがあります。歯と歯の間に三角の空隙ができることがあります。
・副作用 装置撤去時に歯に亀裂が入ることがありますが、神経などへ影響はございません。舌癖の改善状況、ゴム掛けの使用状況、指示事項の実行具合によって装置装着期間が延びることがあります。
・主訴 でこぼこの歯並び
・年齢/性別 14歳/女性
・治療期間 1年1か月
・診断名 上顎前突
・治療費 難易度S、上下セラミックブラケット ¥1,287,000(診断料MIA込み)
・施術説明 装置装着後から噛み合わせを良くするために取り外しのゴムかけを行なっています。装置装着後からMFTを行なっています。
・施術のリスク 歯を移動させることにより歯の根の先が短くなることがあります。歯と歯の間に三角の空隙ができることがあります。
・副作用 装置撤去時に歯に亀裂が入ることがありますが、神経などへ影響はございません。舌癖の改善状況、ゴム掛けの使用状況、指示事項の実行具合によって装置装着期間が延びることがあります。
・主訴 八重歯、でこぼこ
・年齢/性別 12歳/女性
・治療期間 1年1か月
・診断名
・治療費 難易度S、上下セラミックブラケット ¥1,254,000(MIA 2本込)
・施術説明 装置装着後から噛み合わせを良くするために取り外しのゴムかけを行なっています。装置装着後からMFTを行なっています。
・施術のリスク 歯を移動させることにより歯の根の先が短くなることがあります。歯と歯の間に三角の空隙ができることがあります。
・副作用 装置撤去時に歯に亀裂が入ることがありますが、神経などへ影響はございません。舌癖の改善状況、ゴム掛けの使用状況、指示事項の実行具合によって装置装着期間が延びることがあります。
・主訴 前歯のでこぼこ
・年齢/性別 13歳/男性
・治療期間 12ヶ月
・診断名 上顎前突
・治療費 難易度S、上下セラミックブラケット ¥1,221,000(MIA1本)
・施術説明 装置装着後から噛み合わせを良くするために取り外しのゴムかけを行なっています。装置装着後からMFTを行なっています。
・施術のリスク 歯を移動させることにより歯の根の先が短くなることがあります。歯と歯の間に三角の空隙ができることがあります。
・副作用 装置撤去時に歯に亀裂が入ることがありますが、神経などへ影響はございません。舌癖の改善状況、ゴム掛けの使用状況、指示事項の実行具合によって装置装着期間が延びることがあります。
・主訴 出っ歯
・年齢/性別 17歳/女性
・治療期間 1年1か月
・診断名 上下顎前突
・治療費 難易度S、上下セラミックブラケット ¥1,254,000(MIA2本込)
・施術説明 装置装着後から噛み合わせを良くするために取り外しのゴムかけを行なっています。装置装着後からMFTを行なっています。
・施術のリスク 歯を移動させることにより歯の根の先が短くなることがあります。歯と歯の間に三角の空隙ができることがあります。
・副作用 装置撤去時に歯に亀裂が入ることがありますが、神経などへ影響はございません。舌癖の改善状況、ゴム掛けの使用状況、指示事項の実行具合によって装置装着期間が延びることがあります。
・主訴 かかりつけに言われた
・年齢/性別 15歳/男性
・治療期間 12ヶ月
・診断名 上顎前突
・治療費 難易度S、上下セラミックブラケット ¥1,243,000
・施術説明 装置装着後から噛み合わせを良くするために取り外しのゴムかけを行なっています。装置装着後からMFTを行なっています。
・施術のリスク 歯を移動させることにより歯の根の先が短くなることがあります。歯と歯の間に三角の空隙ができることがあります。
・副作用 装置撤去時に歯に亀裂が入ることがありますが、神経などへ影響はございません。舌癖の改善状況、ゴム掛けの使用状況、指示事項の実行具合によって装置装着期間が延びることがあります。
・主訴 口を隠さないで笑えるようにしたい
・年齢/性別 17歳/女性
・治療期間 1年1か月
・診断名 上顎前突
・治療費 難易度S、上下セラミックブラケット¥1,247,400(家族割5パーセント引き)
・施術説明 装置装着後から噛み合わせを良くするために取り外しのゴムかけを行なっています。装置装着後からMFTを行なっています。
・施術のリスク 歯を移動させることにより歯の根の先が短くなることがあります。歯と歯の間に三角の空隙ができることがあります。
・副作用 装置撤去時に歯に亀裂が入ることがありますが、神経などへ影響はございません。舌癖の改善状況、ゴム掛けの使用状況、指示事項の実行具合によって装置装着期間が延びることがあります。
・主訴 正中離開
・年齢/性別 17歳/女性
・治療期間 9ヶ月
・診断名 下顎前突
・治療費 難易度S、上下セラミックブラケット ¥1,221,000
・施術説明 装置装着後から噛み合わせを良くするために取り外しのゴムかけを行なっています。装置装着後からMFTを行なっています。
・施術のリスク 歯を移動させることにより歯の根の先が短くなることがあります。歯と歯の間に三角の空隙ができることがあります。
・副作用 装置撤去時に歯に亀裂が入ることがありますが、神経などへ影響はございません。舌癖の改善状況、ゴム掛けの使用状況、指示事項の実行具合によって装置装着期間が延びることがあります。






































































