ご予約・お問い合わせ
0120-402-415中学生・高校生 「専門」

JETシステム
※1根拠提示 ※2根拠提示 ・JETシステムの費用 ・JETシステムのリスクと副作用
治療期間7ヶ月


当院の従来の矯正
期間:2年6ヶ月
JETシステム
期間:7ヶ月
治療期間12ヶ月


当院の従来の矯正
期間:2年5ヶ月
JETシステム
期間:12ヶ月
治療期間10ヶ月


当院の従来の矯正
期間:2年4ヶ月
JETシステム
期間:10ヶ月
治療期間11ヶ月


当院の従来の矯正
期間:2年7ヶ月
JETシステム
期間:11ヶ月
治療期間12ヶ月


当院の従来の矯正
期間:2年7ヶ月
JETシステム
期間:12ヶ月
治療期間12ヶ月


当院の従来の矯正
期間:2年7ヶ月
JETシステム
期間:12ヶ月
治療期間12ヶ月


当院の従来の矯正
期間:2年7ヶ月
JETシステム
期間:12ヶ月
治療期間9ヶ月


当院の従来の矯正
期間:2年4ヶ月
JETシステム
期間:9ヶ月
※リスクと副作用※
※プライバシーに配慮しすべて個人の情報は仮名にて掲載しています
中学生・高校生が専門

当院の院長成田信一が
2008年に開発・発表した、
独自の矯正治療法
治療終了2.6年
「Step-freeメソッド」
治療終了7~20ヶ月※根拠提示
新しい技術・素材・機器を使用し
STEP.1~4を同時進行
Step-free
メソッド

自由が丘矯正歯科クリニックでは、独自の「JET System」により、抜歯矯正の治療期間を約1年半へと短縮してきました。現在は単なるスピードだけでなく、「期間に配慮しながらもいかに精度の高い噛み合わせを作るか」という質の向上にも注力しています。
当院が基準とするのは、日本矯正歯科学会「臨床指導医」の極めて厳しい審査基準です。
2021年と2025年の審査では、成田信一・清子が提出した計24症例すべてが合格しており、その卓越した技術力が証明されています。
私たちは今も臨床研究を続け、中高生の抜歯症例において平均12ヶ月を切ること、最終的には8割の患者様が6〜9ヶ月で完了することを目指しています。人生の貴重な時期を、装置ではなく最高の笑顔で過ごしていただく。それが私たちの願いです。
※矯正治療には歯根吸収や後戻り等のリスクがあります。費用等の詳細は料金ページをご確認ください。
「治療期間に配慮」「痛みが少なく」「目立たない」
なぜ痛みが少なく、期間に配慮できる?


自由が丘駅から徒歩3分のの歯医者「自由が丘矯正歯科クリニック」。治療期間7~20ヶ月、痛みが少なく、目立たないという矯正治療を実現した4つの技術をご紹介。ひとつは矯正痛を大きく軽減させるローフリクション。ふたつめは正確な位置付けで矯正の精度を高めるジグの導入。みっつめは弾力性があるゴムメタル/TMAワイヤーの使用。よっつめは従来より弱い力で歯を動かせるニッケルチタン材ワイヤーを使用。女性ドクター在籍で10代の矯正に効果的。世田谷区奥沢で開院。

先端デジタル精密機器 + 滅菌・衛生管理で
「安全性」が高い「

矯正治療はあごの骨が柔らかい10代で始めるのが効果的で費用も安価にすみます。JETシステムは従来より弱い力で歯の矯正をおこなうため、小学校の高学年・中学入学から高校卒業までの期間でおこなえば理想的な矯正が可能です。

目立たず治療期間にも配慮したJETシステムは矯正器具が気になって部活動に集中できない学生さんに適した矯正方法です。

フェイスラインはお顔の印象を決める上で特に重要な要素です。JETシステムなら期間に配慮してお顔の形を整えることができます。

痛みが少なく治療期間に配慮したJETシステムは受験に集中したい受験生や、高校・大学入学を控えている学生さんに効果的です。

院長・日本矯正歯科学会 臨床指導医
成田 信一Shinichi Narita

矯正先進国アメリカでは、
高校入学時に美しい歯並びで
いるのが当たり前。
身体が柔軟な成長期に治療を
始めれば、抜歯リスクを抑え、
効率的に歯を動かせます。
高校進学後に
「周りはもう終わっていた」
と後悔しないために、
今がタイミングです。
自信に満ちた笑顔で新しい
門出を迎えられるよう、
自由が丘矯正歯科で
準備を始めませんか。

世田谷区奥沢の歯医者「自由が丘矯正歯科クリニック」。矯正歯科である当院の専門治療をご紹介します。デコボコの歯の矯正(叢生)では歯と顎骨のバランスを整え美しい歯並びへ矯正します。出っ歯や受け口の矯正(上顎前突・下顎前突・上下顎前突)は前出した歯を正しい位置へ移動させ、歯並びを整えます。噛み合わせの矯正(開咬・過蓋咬合・シフト)では当院オリジナルのブラケットを使用。すきっ歯(空隙歯列)の矯正では先天欠如で発生した歯の隙間を矯正します。その他あなたの生活スタイルに合わせて非抜歯の矯正や透明で目立たないマウスピース矯正も可能。自由が丘駅から徒歩3分
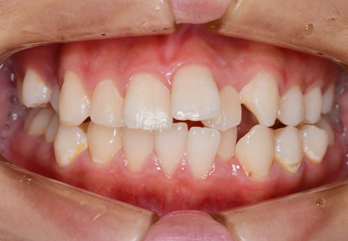
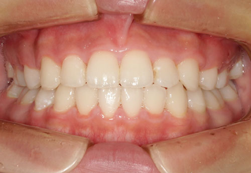
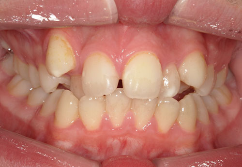
デコボコの
歯の矯正


| 期間 | 約7ヶ月 |
|---|---|
| 回数 | 8回 |
| 費用 | 1,273,800円 (検査・診断、手術関連処置費用等を含む) |
| 内容 | 八重歯が気になることが主訴で来院されました。上顎左側に八重歯があり、上下の正中がズレていて、下顎にも凸凹がありました。 凸凹を治すために上顎左右、下顎左側第一小臼歯を同時抜歯し、JETsystemにて矯正治療を行い、7ヶ月で動的治療を終了しました。 |
| 主なリスクと 副作用 |
矯正装置による違和感や装置に接する粘膜の痛み 矯正力による歯の移動に伴う歯の違和感および痛み 治療期間の延長や短縮の可能性 矯正装置周辺のカリエスリスクの上昇 歯根吸収・歯槽骨吸収・歯肉退縮の可能性 |
| クリニックより | 通常、抜歯する場合には正中が合っていて奥歯の関係が左右対称ならば偶数本抜歯するのが一般的です。しかし、今回の症例は上顎の正中が顔面正中に合っていて、下顎正中が右にズレていたため、下顎は左側のみの抜歯となりました。このようなイレギュラーな抜歯に限らず全ての症例で3Dシミュレーションを行うことで診断の精度を高めています。 これまでで最短の治療期間で終わることができました。この症例はご本人の了承も得て、アメリカ矯正歯科学会誌電子版に発表を行いました。 |
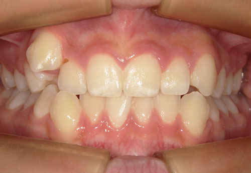
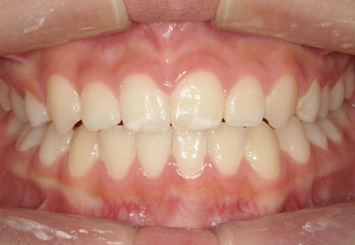
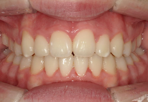
出っ歯や
受け口矯正


| 期間 | 約12ヶ月 |
|---|---|
| 回数 | 16回 |
| 費用 | 1,293,600円 (検査・診断、手術関連処置費用等を含む) |
| 内容 | 口元の突出感を主訴に来院されました。上顎左右側切歯が内側にあり、上下の正中が少しズレていて、下顎にも凸凹がありました。口元の突出感の改善と凸凹を治すために上顎左右、下顎右側第一小臼歯、下顎左側第二小臼歯を同時抜歯し、JETsystemにて矯正治療を行い、12ヶ月で動的治療を終了しました。 |
| 主なリスクと 副作用 |
矯正装置による違和感や装置に接する粘膜の痛み 矯正力による歯の移動に伴う歯の違和感および痛み 治療期間の延長や短縮の可能性 矯正装置周辺のカリエスリスクの上昇 歯根吸収・歯槽骨吸収・歯肉退縮の可能性 |
| クリニックより | 上顎の正中が顔面正中に合っていて、下顎正中がわずかに右にズレていました。下顎小臼歯部は左側は第二小臼歯の抜歯となりました。第一小臼歯あるいは第二小臼歯の抜歯に限らず全ての症例で3Dシミュレーションを行うことで診断の精度を高めています。 高校2年生の秋に来院され、卒業式までに矯正治療を終えたいという希望を叶えられてよかったと思います。 |
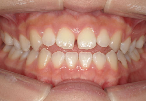
噛み合わせ
の矯正


| 期間 | 10ヶ月 |
|---|---|
| 回数 | 14回 |
| 費用 | 1,124,400円 (検査・診断、手術関連処置費用等を含む) |
| 内容 | 八重歯が気になることが主訴で来院されました。上顎左右に八重歯があり、上顎右側2番が内側に入っていました。出っ歯傾向があることと上顎の凸凹を治すために上顎左右第一小臼歯を同時抜歯し、JETsystemにて矯正治療を行い、10ヶ月で動的治療を終了しました。 |
| 主なリスクと 副作用 |
矯正装置による違和感や装置に接する粘膜の痛み 矯正力による歯の移動に伴う歯の違和感および痛み 治療期間の延長や短縮の可能性 矯正装置周辺のカリエスリスクの上昇 歯根吸収・歯槽骨吸収・歯肉退縮の可能性 |
| クリニックより | 骨格的に出っ歯傾向があったため、上顎の抜歯だけで綺麗に治すことができました。治療に対する協力度も高く、スムーズに治療が進みました。抜歯症例に限らず全ての症例で3Dシミュレーションを行うことで診断の精度を高めるとともに共通のゴールを設定しています。 |
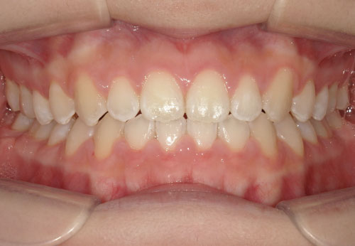
すきっ歯
の矯正


| 期間 | 11ヶ月 |
|---|---|
| 回数 | 15回 |
| 費用 | 1,074,800円 (検査・診断、手術関連処置費用等を含む) |
| 内容 | 八重歯が気になることが主訴で来院されました。上顎左側に八重歯があり、上顎左右2番が内側に入っていました。骨格的なバランスが悪くないことと、下顎にも凸凹があることとから上下左右第一小臼歯を同時抜歯し、JETsystemにて矯正治療を行い、11ヶ月で動的治療を終了しました。 |
| 主なリスクと 副作用 |
矯正装置による違和感や装置に接する粘膜の痛み 矯正力による歯の移動に伴う歯の違和感および痛み 治療期間の延長や短縮の可能性 矯正装置周辺のカリエスリスクの上昇 歯根吸収・歯槽骨吸収・歯肉退縮の可能性 |
| クリニックより | 骨格的なズレがなく、上下の正中も顔面正中に一致していて、上下の大臼歯関係も正常で合ったので、上下左右第一小臼歯を同時抜歯して治療を開始しました。この症例の頃はデジタルシミュレーションを利用していなかったので、模型を分割して、治療予測を行なっていました。 この当時では最短で治療を終えられた症例です。JET systemの発表を初めて行なった印象に残る症例です。セルフライゲーションサミットというシンポジウムで発表させて頂き、大きな反響を頂きました。 |
矯正を成功させ、後戻りさせないために
舌の悪習癖を改善し、後戻りさせずに治療完了までの期間に配慮
なぜ矯正が上手くいかないか、その理由をご存じですか?それは矯正中に舌で歯列を余計な方向へ押してしまうためで、多くは悪癖や無意識におこなうものです。この癖を直すトレーニングをすることは矯正を成功させる上は必要不可欠な工程です。
舌のトレーニングと同様、お口や唇を動かし、筋肉を鍛えることで矯正された歯並びの固定化を図り、後戻りを防止することができます。この口唇のトレーニングも矯正を成功させ、長く健康な歯を保つために必要なことです。
COUNSELING






